Pediatric Scoliosis Webinar Recap: Navigating Pediatric Scoliosis: Understanding, Treatment, and Long-Term Care
Explore scoliosis types, treatments, and diagnostics, including the Cobb angle and various scoliosis forms. Learn about bracing, surgery, and effective management through physical therapy. Gain insights into adolescent concerns, addressing back pain, muscle imbalance, and post-surgery care.
OrthoCarolina Pediatric Team Introduces Physis - A Service Dog Who Improves the Experience of Children During Orthopedic Visits
OrthoCarolina Pediatric Introduces Physis (Epiphysis) - A Service Dog Who Improves the Experience of Children During Medical Visits.
Clubfoot: How Do Doctors Diagnose & Treat It?
Pediatric orthopedic surgeon Dr. Virginia Casey shares what parents need to know about clubfoot treatment on the Between the Bones podcast, powered by OrthoCarolina.
Exploring the Body from the Inside Out: Spine
In the spine edition of our Orthopedic Anatomy Series: Exploring Your Body from the Inside Out, we look at the causes and treatments of back pain and common spine ailments.
Scheduling Your Appointment Online with OrthoCarolina
Save time and book your care, your way. With online scheduling, your personalized orthopedic care is only a few clicks away.
Could My Child Have Scoliosis?
The first thing many parents notice is asymmetry, or their child having height differences in the shoulder or hips.
I Chose to Become a Doctor Because...
For many physicians, taking care of others is their life’s work and the ultimate calling. In honor of Doctors’ Day on March 30, we asked our doctors why they chose the medical field.
Helping parents spot growth plate fractures in kids
Most falls your child will take in their young lives will be the kind from which they hop right back up and keep on moving. But...
What does it mean to be a fellowship trained orthopedic surgeon?
Additional fellowship training exposes doctors to particular specialties.
Why Does Removing a Cast Tickle?
Removing a cast at the doctor’s office can really tickle, and there’s true science behind the reason why.
Why does removing a cast tickle? + 3 more cast fun facts
After a break, fracture, sprain or dislocation, a cast allows bones to stay in place as they heal. Being injured is never fun, but there are a few fun facts about casts beyond the fact that all your friends can sign them.
10 New Physicians Join OrthoCarolina
OrthoCarolina has hired 10 new physicians to support the increasing needs of its patients and communities
What is patellofemoral pain syndrome?
Patellofemoral pain syndrome is pain in the front of the knee. It frequently occurs in teenagers, manual laborers, and athletes.
Pediatric Orthopedic Care at OrthoCarolina
OrthoCarolina’s Pediatric Orthopedic Center is your destination for comprehensive pediatric orthopedic care in Charlotte.
Off and Running: How One Physician/PA Duo Keeps Pace
They look just like any other ordinary runners out for a mid-day exercise break. But look closely and you’ll see Dr. Paloski and his physician assistant Abby running side-by-side, not too far from the pediatric office where they work
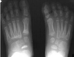
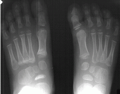
What is Kohlers?
Kohler's disease is a condition, where the navicular bone in the foot looses its blood supply temporarily and sustains a state of bone death, also called avascular necrosis.
What is pediatric scoliosis?
Scoliosis is a sideways curvature of the spine which may cause the spine to be in the shape of a C or S instead of being straight.
What is Osgood Schlatter's Disease?
Osgood Schlatter’s is a condition associated with inflammation of the apophysis of the tibial tubercle. This means that a portion of the growth plate of the shin bone has become irritated.
What Are Knock Knees? Causes & Treatment Options
“Knock knees” is a term used to describe the medical term genu valgum, which means the knees fall inside the midline of the legs.
What is Blount’s Disease?
Blount’s disease is a condition affecting the growth plate of the tibia, also known as the shin bone.
Intoeing Causes & Treatment
In-toeing is a pattern of walking in which the toes point inward instead of straight forward. There are varying degrees of in-toeing, some being mild and others being severe.
What are bowed-legs?
“Bowed legs” is a term used to describe the medical term genu varum, which means the knees fall outside the midline of the legs.
What is Pediatric Hip Dysplasia?
Hip Dysplasia is a comprehensive term that has been used to include a spectrum of related developmental hip problems in infants and children, often present at birth.
What are flat feet?
Flat feet are a condition in which the foot doesn't have a normal arch. It may affect one foot or both feet.
What is femoroacetabular impingement?
Femoroacetabular impingement (FAI) is a condition in the hip joint involving abnormal friction between the ball (femoral head) and socket (acetabulum).
What is a discoid meniscus?
A normal meniscus is a c-shaped cushion of cartilage that supports the knee joint. A discoid meniscus is shaped more like a disc and does not taper as much toward the center.
What is Clubfoot?
The medical term for clubfoot is talipes equinovarus and this describes the position of the foot. The feet are pointed down (equinus) and inward (varus).
Small kids, big injuries
Read more on what Dr. Christian Clark with OrthoCarolina Pediatrics told the Charlotte Observer about overuse injury risks in children:
Pediatric Orthopedics -- Did you know?
Orthopedic Pediatrics at OrthoCarolina






























